
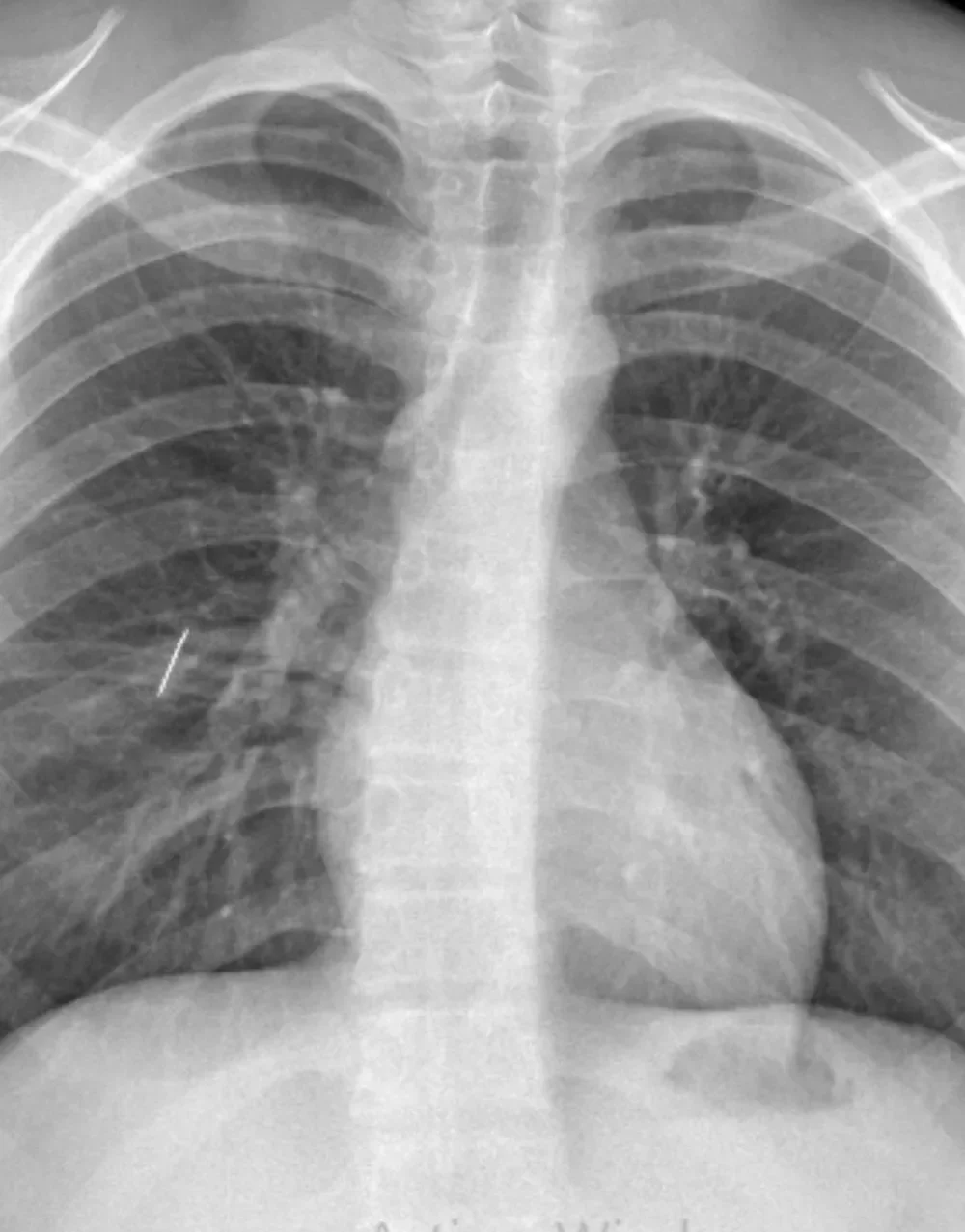
En una cirugía de alta complejidad extrajeron un objeto metálico del pulmón de un joven del interior
Redacción Primeras líneas
INFORMACIÓN GENERAL 02/04/2026
Redacción Primeras líneasEsta mañana se realizó el acto oficial por el Día del Veterano y de los Caídos en la Guerra de Malvinas en la plaza 2 de Abril, con la presencia del gobernador Raúl Jalil y autoridades provinciales. Del acto participaron también representantes de fuerzas de seguridad, instituciones educativas y familiares de veteranos, en una jornada marcada por el reconocimiento y la memoria colectiva.


















